Mitochondria: la centrale energetica della cellula, una presentazione universitaria

Slide from Università about Mitochondria: the Cell's Power Plant. La Pdf è una presentazione di Biologia per l'Università che illustra il ruolo dei mitocondri nella produzione di ATP tramite fosforilazione ossidativa, con schemi dettagliati della catena di trasporto degli elettroni e dell'ATP sintasi.

Mostra di più

37 pagine

Mitochondria:
the Cell’s Power Plant
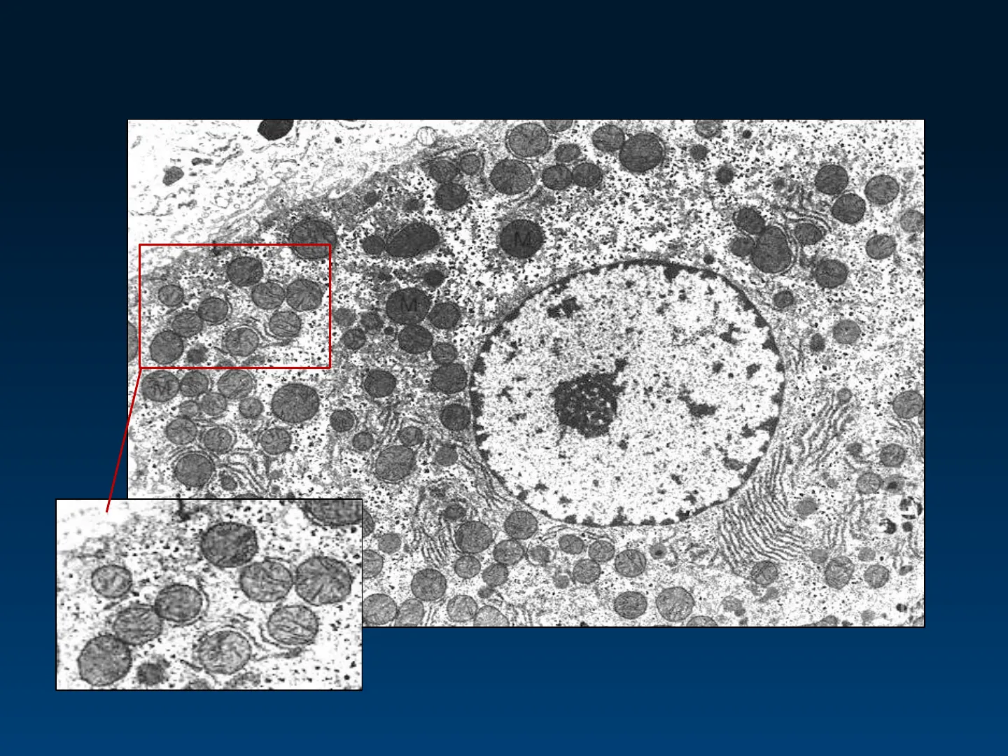
Mitocondri nel citoplasma al TEM
M
M
M

Visualizza gratis il Pdf completo

Registrati per accedere all’intero documento e trasformarlo con l’AI.

Anteprima

Mitocondri: la centrale energetica della cellula

Mitochondria: the Cell's Power PlantMitocondri nel citoplasma al TEM M M MMitocondri Organuli a forma tubulare/ovoidale delimitati da una doppia membrana, presenti in numero variabile nel citoplasma. Responsabili della produzione di molecole ad alta energia.

membrana esterna membrana interna 200 nm matriceMitocondri In questi organuli, la membrana più interna presenta numerose introflessioni (creste mitocondriali) che ne aumentano la superficie

ribosomi sul RER M mitocondri M M M I mitocondri posseggono un genoma proprio e un apparato trascrizionale e traduzionale

Membrana esterna Membrana interna TEM Matrice Creste Spazio intermembrana 0,25 um

Origine dei Mitocondri

Questi organuli derivano probabilmente da cellule procariote che furono fagocitate da cellule eucariote più grandi, Nel processo di fagocitosi, la membrana del fagosoma ha formato la membrana esterna del mitocondrio attuale

cellula ancestrale Eucariote Anaerobio cellula primitiva Eucariote Aerobio membrane interne nucleo S membrana cellulare mitocondri membrana derivata dalla cellula eucariotica cellula Procariote Aaerobia

Mitocondri: doppia membrana

Nel processo di fagocitosi, la membrana del fagosoma dell'eucariote ha formato la membrana esterna del mitocondrio attuale

Eucariote ancestrale Membrane interne dell'eucariote nucleo Membrana del procariote Membrana del procariote Fagocitosi Procariote aerobio ancestrale Membrana del Fagosoma

Mitocondri: sorting dal citoplasma ai Mitocondri

Anche nei mitocondri vengono importate proteine

Peroxisome NUCLEUS CYTOSOL Mitocondri Endoplasmic Reticulum Golgi Lysosome Secretory Vescicles Endosome Endocytosis - Cell Surface - Esocytosis Trasporto transmembrana

Mitocondri: genoma e metabolismo

Pur possedendo un genoma proprio, (DNA mitocondriale o mtDNA) e un apparato trascrizionale e traduzionale, mtDNA non codifica per tutte le proteine necessarie al loro metabolismo. Possiede 37 geni codificanti per due rRNA, 22 tRNA e 13 proteine, che fanno parte dei complessi enzimatici deputati al processo della Fosforilazione Ossidativa. Alcune proteine vengono comunque importate dal citoplasma mediante un processo di traslocazione post-traduzionale

Importazione Proteine citoplasma citoplasma citoplasma

Sorting ai Mitocondri: chaperones

Le proteine, sintetizzate nel citoplasma della cellula, che vanno ai mitocondri, sono accompagnate da chaperones citoplasmatici fino all'interno del mitocondrio. Nel mitocondrio, altri chaperones mitocondriali interagiscono con le proteine importate e ne controllano il folding

Proteine Chaperones citosolici Proteina con folding corretto Chaperones mitocondriali

Sequenza segnale di importazione mitocondriale

Un esempio: Il segnale di importazione mitocondriale delle Citocromo Ossidasi (enzima mitocondriale), è posizionato all'N-terminale della proteina, tende a formare un alfa-elica che viene riconosciuta dal recettore sulla membrana esterna del mitocondrio, come struttura tridimensionale, piuttosto che come sequenza.

NH3 + Met 1 Leu Ser Leu Arg (B) Gin Ser Ile Arg Phe Phe Lys Pro Ala Thr (A) Arg 18 Thr Leu --

Importazione di proteine nei Mitocondri

Vengono indirizzate da una sequenza segnale posizionata all'N-terminale della proteina, che è completamente sintetizzata nel citoplasma Le proteine arrivate in forma distesa al mitocondrio (grazie ai chaperones), interagiscono con un recettore (complesso TOM) sulla membrana esterna. Il complesso diffonde lateralmente fino a collimare con il traslocatore (TIM23) che le importa nella matrice mitocondriale

Traslocatore FUSIONE membrana esterna Sequenza segnale D 1 membrana interna CITOSOL TOM TIM23 MATRICE MITOCONDRIALE proteina precursore proteina recettore & proteina matura sequenza segnale escissa

Mitocondri: produzione di energia

I Mitocondri sono la centrale di produzione di energia della cellula. L'energia viene prodotta sotto forma di Adenosina trifosfato o ATP

(ATP) Ribosio Adenina trifosfato

Energia chimica: la molecola di ATP

L'ATP è formato da una base azotata (adenina) legata ad uno zucchero (Ribosio) a sua volta legato ad una catena con tre gruppi fosfato

3 Gruppi Fosfato Legami ad alta energia ATP Adenina P P P Ribosio trifosfato è instabile ed i legami tra i gruppi fosfato possono essere idrolizzati con liberazione di energia.

L'adenosina Tri (Di) Fosfato: ATP e ADP

ATP ADP Adenine Ribose 5' ATP 2' 3' tri-Phosphate + P. ADP di-Phosphate Energia disponibile per sintesi chimica e lavoro cellulare L'idrolisi che porta da ATP a ADP oppure da ADP a AMP + Pi, liberano 30.5 KJoule/mole. Mentre la rottura del legame fosfato-ribosio libera circa 14 KJ/mole

Produzione di ATP: cibo e ossigeno

Ma, per produrre una molecola ad alta energia è necessario ricavare energia, come fa la cellula a produrre ATP? Gli organismi introducono cibo e ossigeno mediante alimentazione e respirazione, da essi, Glucosio e O2 vengono utilizzati per alcuni processi biochimici che portano alla produzione di ATP

Le cellule utilizzano Ossigeno e Glucosio per produrre energia

nel processo di Respirazione Cellulare

O2 dall'aria O2 e Glucosio entrano nelle cellule e con la respirazione cellulare si producono H2O e CO2 e ATP

H2O CO2 Glucosio dal cibo ADP + Pi -> ATP L'energia derivata dal glucosio viene usata dai mitocondri per produrre ATP da ADP + Pi

Respirazione cellulare: processi metabolici

La respirazione cellulare si può suddividere in 3 processi metabolici a) la Glicolisi (2 ATP), avviene nel citoplasma e produce Piruvato, il piruvato entra nei mitocondri e viene convertito in Acetil-Coenzima A a) Il ciclo di Krebs (2 ATP), nella matrice del mitocondrio b) La Fosforilazione ossidativa attuata dalla catena di Trasporto degli Elettroni (34 ATP) sulla membrana interna del mitocondrio

Citoplasma Mitocondri (matrice) Mitocondri (membr. interna) Glicolisi - Ciclo di Krebs Fosforilazione ossidativa

Da Glucosio ad ATP

Catena Trasportatori di e- Cellula H+ H+ H+ H+ H+ H+ e e e e H+ ATP sintasi + Glucosio e ADP+P ATP Glicolisi donatori di e- (NADH/FADH2) Mitocondrio Piruvato Acetil Coenzima A Ciclo di Krebs Matrice Citoplasma H+ e H+ Spazio Intermembrana

Piruvato: decarbossilazione e Acetil Coenzima A

Piruvato proveniente dalla Glicolisi entra nel mitocondrio viene decarbossilato dalla Piruvato Deidrogenasi, e si formano Acetil Coenzima A, NADH e CO2

Piruvato Acetil CoA O = COA -SH CH3C COO Piruvato deidrogenasi O = CH3C CO 2 S-COA Acetil CoA NAD+ NADH +H+ Piruvato

NADH: Nicotinammide Adenina di-nucleotide

Un coenzima, donatore di elettroni, il cui ruolo biologico consiste nel trasferire elettroni

NADH O H H -C-NH2 N CH2 O 0-P=0 H H 0 H OH OH NH2 "0-P=0 1 N N N N O H H · 工 H OH OH NADH NAD+ + H+ + 2e- H 0 II C-NH2 + H+ + 2e N+ O-CH2 O 0-P=0 H H 1 H H O | OH OH NH2 0-P=0 N N N N O H H H H OH OH NAD+ 1 H 0-CH2 0-CH2

Glicolisi: bilancio

Nella Glicolisi da una molecola di glucosio vengono prodotti:

  • 2 NADH
  • 2 ATP
  • 2 Piruvato

CH2OH O una molecola di glucosio OH HO OH OH ATP STADIO 1 STADIO 2 ATP STADIO 3 POH2C CH20 P fruttosio 1,6-bisfosfato HO OH OH STADIO 4 si scinde uno zucchero a sei carboni in due zuccheri a tre carboni STADIO 5 CHO CHO - - CHOH CHOH - CH20 P CH20 P NADH STADIO 6 NADH STADIO 7 ATP STADIO 8 STADIO 9 si genera energia ATP STADIO 10 ATP COO COO 1 - 2 Piruvato C=0 c=0 1 CH3 1 CH3 si investe energia da recuperare in seguito O due molecole di gliceraldeide 3-fosfato ATP

Ciclo di Krebs: bilancio

2 molecole di Acetil-Coenzima A nel mitocondrio, entrano nel ciclo di Krebs ed il bilancio produce:

Glucosio Glicolisi Acido Piruvico NAD CO2 NADH + H+ 6 NADH Acido Citrico Acido a-chetoglutarico CO2 coenzima A- P + ADP NAD Acetil CoA -H2O Ciclo di Krebs NADH + H spazio intermembrana del mitocondrio Acido ossalacetico Acido succinico FAD H++ NADH NAD+ Acido malico FADH2 Matrice mitocondriale 2 FADH2 2 ATP ATP 4 CO2 Citosol

Sintesi di ATP: dove e come

Ma dove e come avviene realmente la sintesi di ATP

NH2 O O N N HO-P-O-P-O-P-O I I N N OH OH OH ATP OH OH C10H16N5013P3

Catena di trasporto elettroni e ATP sintetasi

Nella cellula eucariote si sono evoluti sistemi capaci di imbrigliare l'energia necessaria alla vita

ioni H+ (protoni) Gradiente protonico membrana O e- elettroni a bassa energia C ATP sintetasi C O C O P. + ADP ATP O C Fase 1: il trasporto di elettroni alimenta dei complessi (pompe) che traslocano protoni al di là della membrana Fase 2: l'energia chimica del gradiente protonico viene utilizzata dalla ATP sintetasi per produrre ATP elettroni ad alta energia e-

Mitocondri: catena di trasporto degli elettroni e produzione di ATP

L'accumulo di protoni nello spazio inter-membrana è alimentato dal trasporto di elettroni (ceduti dal NADH) lungo i trasportatori della catena sulla membrana mitocondriale interna

ATP ADP + P H+ H+ oxidative phosphorylation Membrana mitocondriale esterna Citosol HI H Membrana mitocondriale interna HV H+ H H pH basso H H+ H H H H pH più alto 1ATP ADP + P Foforilazione ossidativa

Produzione di ATP: gradiente elettrochimico

Come e dove si produce ATP La sintesi di ATP nel Mitocondrio è alimentata da un gradiente elettrochimico di protoni (H+) Il gradiente, che si accumula tra i due lati della membrana interna delle creste mitocondriali, si realizza grazie ad una catena di proteine trasportatrici di elettroni

H+ H+ H+ H+ H+ H+ ATP sintetasi MATRICE e- H+ H+ H+ O2 2H2O catena di trasporto degli elettroni ADP ATP + H+ membrana interna Pi membrana esterna H H+

Trasporto di elettroni: NADH e FADH

Gli elettroni ceduti da NADH e FADH, si spostano lungo la catena di trasporto, formata da una serie di complessi proteici nella membrana interna del mitocondrio.

Mitocondrio Citoplasma Membrana mitocondriale esterna Spazio intermembrana 1. Elettroni dal NADH e FADH entrano nella catena di trasporto degli elettroni 2. e vengono trasferiti alla serie di trasportatori Cc Membrana mitocondriale interna I Q III IV NAD+ FAD NADH + H FADH O2 H2O Matrice mitocondriale 3. gli elettroni arrivano all'O2 che lega H+ ed elettroni, formando H2O Il NADH cede gli elettroni al gruppo I, mentre il FADH2 al gruppo II. Entrambi questi gruppi consegneranno gli elettroni al Coenzima Q che si ossiderà consegnando gli elettroni al gruppo III. Di qui il passaggio al citocromo C che consegnerà gli elettroni all'ultimo gruppo, il IV, ed infine gli e ridurranno l'ossigeno. Durante tutti questi passaggi, avviene il trasferimento contro gradiente di H+ (non mostrato nello schema) dalla matrice allo spazio inter-membrana del mitocondrio Da qui gli H+ torneranno nella matrice tramite la ATP sintetasi

NAD: Nicotinamide Adenin-Dinucleotide FAD. Flavin Adenin.Dinucleotide

Non hai trovato quello che cercavi?

Esplora altri argomenti nella Algor library o crea direttamente i tuoi materiali con l’AI.