Documento didattico sui vetrini istologici di tessuti muscolari e nervosi. Il Pdf, utile per lo studio della Biologia all'Università, presenta immagini chiare e descrizioni dettagliate di muscolo striato, canale ependimale e cellule di Purkinje, fornendo un supporto visivo e descrittivo.
See more34 Pages


Unlock the full PDF for free
Sign up to get full access to the document and start transforming it with AI.
1. Muscolo striato. Le cellule sono cilindriche e tutte dello stesso diametro, dall'inizio alla fine. Sono plurinucleate e i nuclei sono subito al di sotto del sarcolemma, quindi è un tessuto muscolare striato scheletrico. Si può vedere il bandeggio dato dalle miofibrille. Quello bianco è un tessuto vascolarizzato dove saranno presenti cellule adipose. Quello nella parte alta ha un taglio trasversale ma è sempre muscolatura.
2. Muscolo striato. Si vede un bandeggio e i nuclei posti alla periferia. È sempre scheletrico. Le fibre sono disposte parallelamente ecc. Quelle bianche sono cellule adipose ed inoltre si vedono anche dei vasi sanguigni.
7. Muscolo striato scheletrico. Caratteristiche nuclei e bandeggio.
11. Tessuto muscolare striato scheletrico.
12. Tessuto muscolare striato scheletrico.
13. Stessa cosa, sono solo colorazioni diverse.
14. Colorazione argentica, mette in evidenza il bandeggio. Tessuto muscolare striato scheletrico.
15. Altra colorazione stesso tessuto.
16. Altro tipo di colorazione dove si può vedere la striatura.
17. Sempre scheletrico. C'è una predominanza di taglio longitudinale.
21. Tessuto muscolare striato scheletrico. SI hanno fibre tagliate longitudinalmente in cui vi è una striatura molto evidente, in quella tagliata trasversalmente si vedono le cellule e i nuclei alla periferia.
23. Tessuto muscolare scheletrico.
26. Tessuto muscolare scheletrico.
28. Tessuto muscolare scheletrico.
29. Scheletrico.
32. Scheletrico.
33. Taglio trasversale scheletrico. Sono molto colorate nel loro citoplasma, poiché possiedono la mioglobina.
36. Scheletrico.
38. Scheletrico. Taglio trasversale.
39. Scheletrico. Taglio longitudinale con fibra tagliata trasversalmente. C'è tessuto ghiandolare in alto a sinistra con acini sierosi.
40. Scheletrico.
45. Scheletrico.
54. Scheletrico.
55. Scheletrico.
4. Muscolo striato. I nuclei sono al centro ed è uno solo, si vedono anche i dischi intercalari quindi tessuto muscolare striato cardiaco.
6. Si vede il bandeggio e delle zigrinature. Pochi nuclei e centrali. Le cellule presentano delle biforcazioni, quindi cellule cardiache. Costituiti da tratti trasversali e tratti longitudinali a livello dei quali ci sono delle giunzioni specifiche. In quelli trasversali le zone aderens. In quello longitudinale le giunzioni serrate che servono a mettere in comunicazione i due citoplasmi.7. Muscolo striato scheletrico.
18. Tessuto muscolare striato cardiaco. Strie scalariformi.
25. Tessuto muscolare striato cardiaco. Strie scalariformi.
27. Tessuto muscolare cardiaco.
37. In alcune aree si hanno cellule di dimensioni notevolmente maggiori. Tessuto cardiaco. Sono le cellule del Purkinje.F
42. Muscolo cardiaco.
44. Muscolo cardiaco.
46. Cardiaco. Si vedono bene le strie scalariformi.
47. Cardiaco.
48. Cardiaco.
50. Cardiaco. Si vedono le biforcazioni delle fibre.
52. Cardiaco.
56. Cardiaco. Taglio trasversale.
57. Cardiaco.
3. Da sinistra si vedono delle ghiandole mononucleate. Cellule colonnari, ghiandole caliciformi mucipare. Si nota un orletto di microvilli. Siamo nell'intestino tenue. L'epitelio è formato da enterociti. Sotto al di sotto del tessuto connettivo (blu). Poi c'è il tessuto muscolare liscio. Due strati: circolare e longitudinale. Quello più vicino al lume è quello circolare e viceversa.4. Muscolo striato. I nuclei
8. Un nucleo solo ovoidale e cellule affusolate. Muscolo liscio. Il nucleo è molto consistente.
9. Ingrandimento del muscolo liscio. Si vedono bene i nuclei.
19. Tessuto muscolare liscio. Qui si può vedere sotto in azzurrino il tessuto connettivo, sopra lo strato circolare e sopra ancora quello longitudinale. In questo caso il muscolo è contratto perché si vedono i nuclei a cavatappi.
22. Si vede tessuto connettivo lasso. Attorno ai vasi tessuto muscolare liscio. C'è del tessuto ghiandolare, adenomeri sierosi.23. Tessuto muscolare scheletrico.
30. Liscio.
31. Liscio contratto.
34. Liscio.
35. Liscio. Si vedono le cellule affusolate, nucleo al centro.
41. Dal basso: si vedono due strati muscolari. Quindi tessuto muscolare liscio, rispettivamente strato longitudinale poi circolare. Siamo nell'apparato gastrointestinale. C'è poi il tessuto connettivo. Poi si vedono delle ghiandole tubulari semplici. In queste si vede un'elevata concentrazione di ghiandole unicellulari mucipare. Quindi siamo nell'intesti crasso. La struttura biancastra sopra è il prodotto di tutte le ghiandole, muco di protezione. Le ghiandole tubulari semplici prendono il nome di cripte del Lieberkuhn.
51. Liscio. Si vedono due vasi.
53. Liscio.
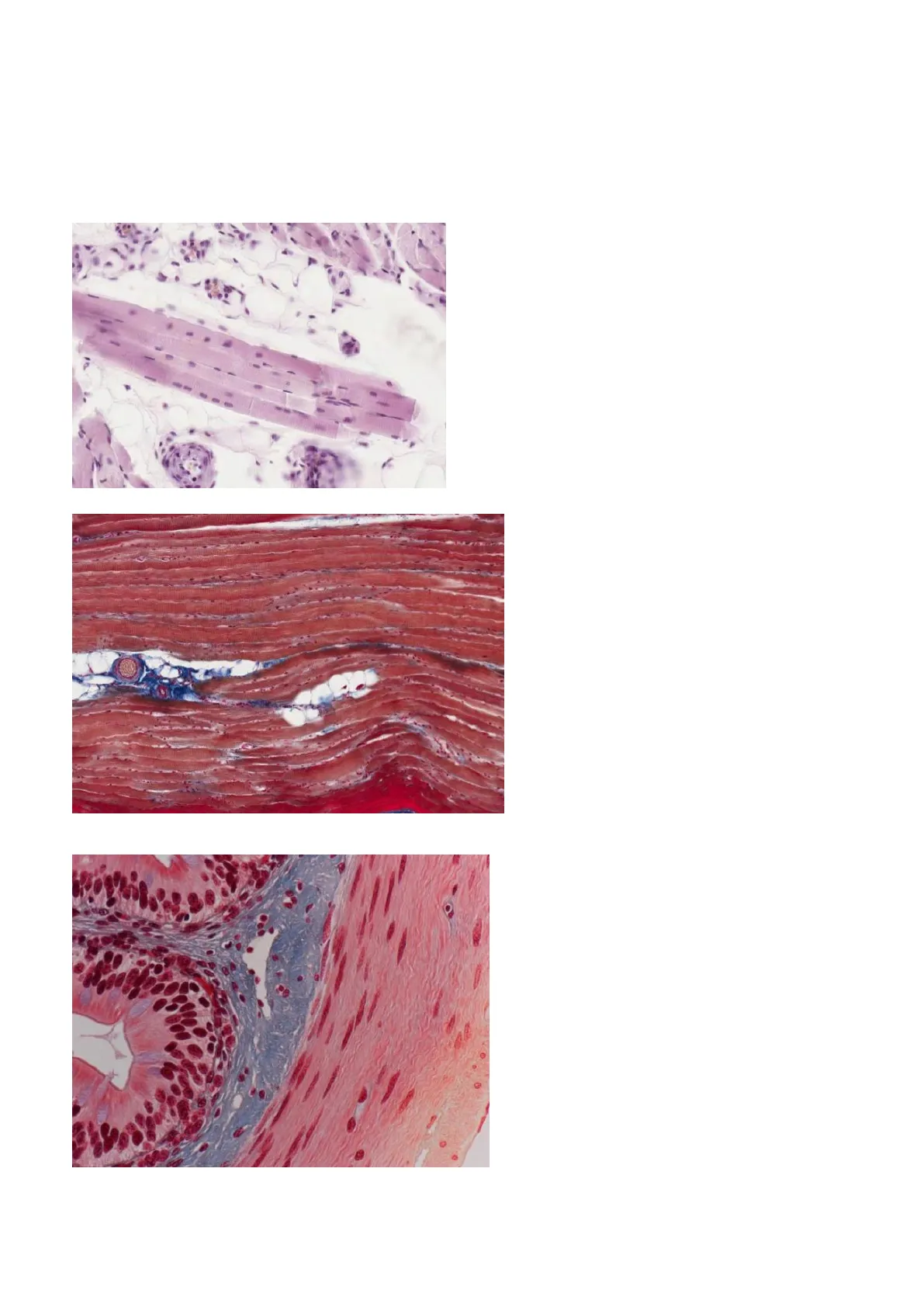
5. La parte blu, costituita da fibre disposte parallelamente fra di loro, sono fibre di collagene ed è tessuto connettivo denso regolare. Al centro una struttura in cui è visibile il bandeggio e i nuclei posti alla periferia, quindi tessuto muscolare striato scheletrico. È una giunzione muscolo-tendinea.
10. Tessuto nervoso e tessuto muscolare. Sarà una giunzione neuro-muscolare. Si vede l'assone e il bottone terminale.11. Tessuto muscolare striato
20. Stessa di prima. In evidenza il bandeggio.
24. Giunzione neuro-muscolare.
49. Giunzione muscolo-tendinea.
1. Corteccia cerebrale. Si vedono le circonvoluzioni. Sostanza grigia all'esterno e bianca all'interno. La grigia è formata dai corpi cellulari dei neuroni, dai dendriti dalle cellule biliari. La bianca dagli assoni, dalla guaina mielinica.
2. Neuroni. Hanno una forma piramidale. Quindi sono i neuroni specifici della corteccia cerebrale. Si vede che ci sono dendriti importanti, basali, apicali da cui partono ulteriori ramificazioni dell'apparato dendritico che è l'apparato ricevente.3. Neuroni. Potrebbero essere
3. Neuroni. Potrebbero essere neuroni piramidali. Si vede il corpo cellulare e si distinguono bene il nucleo e il nucleolo. Si nota bene la sostanza tigroide, le zolle di Nissl.
4. Neuroni. Si vede in solito corpo cellulare, le zone di Nissl ecc. si vede la struttura dendritica partire da punti multipli del neurone quindi neurone multipolare.
5. Quelli neri sono i neuroni. Ma bisogna notare bene le cellule sottili. Cellule gliali.
7. Neuroni. Hanno una forma piramidale. Quindi corteccia cerebrale.
9. Neuroni.
34. Neuroni. Hanno forma piramidale quindi corteccia cerebrale.
35. Neuroni. Si vede una solo ramificazione. Neuroni pseudo unipolari. Sono i neuroni dei gangli afferenti.
37. Neuroni.
39. Neurone piramidale.
43. Neuroni piramidale.
49. Neuroni.
53. Neurone.
67. Neuroni piramidali.
69. Neurone. L'assone non è colorato. Cono di emergenza.
8. I neuroni sono quelli più grandi. SI vede bene in nucleo, nucleolo e citoplasma con sostanza tigroide. Quelli che le circondano sono cellule satelliti quindi siamo in un ganglio. Danno una funzione di sostegno e trofica.
13. Ganglio. Si vede un taglio che evidenzia i corpi cellulari e le fibre nervose che partono dai neuroni.
17. Neuroni con cellule satelliti attorno, quindi ganglio.
19. Neurone con cellule satelliti.
21. Ganglio.
24. Ganglio.
40. Ganglio.
46. SNP. Gangli e neuroni circondati dalle cellule satelliti.
50. Neuroni con attorno cellule satelliti.
51. Uguale.
56. Neuroni con cellule satelliti.
10. Quella esterna è la sostanza grigia, interna la bianca. Si notano tre strati. Cervelletto.
18. Da sopra. Strato formato da poche cellule. Uno strato formato da neuroni di grandi dimensioni e un terzo stato formato da neuroni di piccole dimensioni. Cervelletto.
20. Cervelletto.
25. Cervelletto.
26. Stessa cosa. Cervelletto.
29. Cervelletto. Si vedono bene le cellule del Purkinje.
31. Cellule del Purkinje.
33. Cervelletto.
42. Cervelletto.
62. Cervelletto.
64. Cellule del Purkinje.
11. Canale ependimale. Circola il liquido cefalo rachidiano. Le cellule formano un epitelio cubico o colonnare basso. Fornito da cigli o microvilli che muovono il liquido.
22. Midollo spinale. SNC. Sostanza grigia all'interno e bianca esterna. Corna posteriori e corna anteriori.
30. Midollo spinale.
45. Corna anteriori del midollo spinale.
47. Midollo spinale.
55. Midollo spinale. Corna posteriori.
57. Canale del midollo spinale.
59. Canale ependimale.
60. Corna anteriori del midollo spinale.
72. Midollo
73. Midollo
6. Si vede una guaina esterna da cui partono dei sepimenti che circondano delle strutture. È un nervo. Quindi all'esterno è l'epinevrio. I sepimenti sono il perinevrio. Da cui partiranno ulteriori sepimenti che andranno a circondare la singola fibra ed è l'endonevrio.7. Neuroni. Hanno una forma piramidale.
15. Nodi di Ranvier.
23. Nodi di Ranvier.
32. Nodi di Ranvier.
38. Nodi di Ranvier.
44. Nodi di Ranvier.
48. Nervo.
52. Nervo in cui si mette in evidenza la guaina mielinica.
54. Nervi.
58. Nervo.
61. Nervo. Fibra nervosa. Assone circondato dalla sua guaina mielinica che sono le linee scure. Sezione longitudinale. Si vedono dei vasi sanguigni.
63. Nervo. Sezione trasversale.
65. Taglio trasversale e longitudinale. Assone circondato dalla guaina mielinica.
68. Nervo.
70. Nervo longitudinale e trasversale.
74. Nervo.
12. Giunzione neuro-muscolare.
14. Giunzione neuro-muscolare. È evidente la componente nervosa.
16. Si vedono le microglie.
27. Astrociti protoplasmatici.
28. Astrociti fibrosi.
36. Astrociti fibrosi.
41. Astrociti.
66. Giunzione.
71. Microglia