Lezione sui vetrini istologici: ghiandole e tessuti

Documento di Università su Lezione Vetrini Istologici Ghiandole. Il Pdf, utile per lo studio della Biologia a livello universitario, presenta una raccolta di vetrini istologici con descrizioni dettagliate di ghiandole unicellulari mucipare, sudoripare, salivari e strutture ghiandolari dell'intestino e dell'ovaio.

Mostra di più

22 pagine

LEZIONE 2 VETRINI 14/12/2017
Ghiandole
1. Intestino tenue Epitelio semplice.
Cellule colonnari. Nuclei ovoidali che
rispettano la forma della cellula. C’è un
orletto in cui ci sono microvilli per aumentare
la superficie di assorbimento e di secrezione.
Ci sono delle ghiandole mucipare. Sono
enterociti. Sono ghiandole unicellulari. Al di
sotto vi è tessuto connettivo lasso.
Membrana basale.
Ingrandimento. Ghiandole unicellulari
mucipare.
2. Tubulo glomerulare, ghiandola sudoripare
merocrine Esocrina. Si vedono due strutture
differenti. In quella centrale si vedono delle
strutture rotondeggianti di cui alcune hanno un
certo spessore e altre più chiare. È tagliata
trasversalmente, sembra una cellula ramificata
ma non lo è. La parte più colorata è la parte più
profonda. Gli anelli più spessi sono la parte più
superficiale della ghiandola dove le cellule hanno
funzione di dotto. Nelle ascelle e nella zona
dell’inguine. Elaborano un secreto che ha un
certo odore. Il tessuto accanto è tessuto
connettivo denso costituito da fibre di collagene. Ghiandola sebacea.
3. Epidermide c’è uno
strato corneo importante quindi
epidermide abbastanza spessa.
Si vedono le creste dermiche e le
papille che si addentrano le
tessuto. Tutto quello blu è
tessuto connettivo denso. Le
strutture che si vedono sono le
ghiandole tubulo glomerulari in
cui si vede anche un dotto
escretore. Quelle bianche sono
cellule adipose.
4. Sudoripare eccrine Nel palmo delle mani e nel viso.
Elaborano un secreto inodore. Ghiandola esocrina apocrina.
5. Ghiandola esocrina. Salivare.
Ghiandola mucosa.
6. Epidermide strato corneo molto
sottile. Si vede tessuto connettivo denso
irregolare. Si vede una struttura ghiandola in
cui si riconoscono tre adenomeri che
raccolgono il secreto che poi sboccherà
all’esterno in un unico dotto. Quindi una
ghiandola ramificata tubulo glomerulare.

Visualizza gratis il Pdf completo

Registrati per accedere all’intero documento e trasformarlo con l’AI.

Anteprima

Ghiandole

  1. Intestino tenue > Epitelio semplice. . Cellule colonnari. Nuclei ovoidali che rispettano la forma della cellula. C'è un orletto in cui ci sono microvilli per aumentare la superficie di assorbimento e di secrezione. Ci sono delle ghiandole mucipare. Sono enterociti. Sono ghiandole unicellulari. Al di sotto vi è tessuto connettivo lasso. Membrana basale.

Ingrandimento delle Ghiandole Unicellulari Mucipare

  1. Tubulo glomerulare, ghiandola sudoripare merocrine >Esocrina. Si vedono due strutture differenti. In quella centrale si vedono delle strutture rotondeggianti di cui alcune hanno un certo spessore e altre più chiare. È tagliata trasversalmente, sembra una cellula ramificata ma non lo è. La parte più colorata è la parte più profonda. Gli anelli più spessi sono la parte più superficiale della ghiandola dove le cellule hanno funzione di dotto. Nelle ascelle e nella zona dell'inguine. Elaborano un secreto che ha un certo odore. Il tessuto accanto è tessuto connettivo denso costituito da fibre di collagene. Ghiandola sebacea.
  2. Epidermide > c'è uno strato corneo importante quindi epidermide abbastanza spessa. Si vedono le creste dermiche e le papille che si addentrano le tessuto. Tutto quello blu è tessuto connettivo denso. Le strutture che si vedono sono le ghiandole tubulo glomerulari in cui si vede anche un dotto escretore. Quelle bianche sono cellule adipose.

O G O

  1. Sudoripare eccrine > Nel palmo delle mani e nel viso. Elaborano un secreto inodore. Ghiandola esocrina apocrina.
  2. Ghiandola esocrina. Salivare. Ghiandola mucosa.
  3. Epidermide > strato corneo molto sottile. Si vede tessuto connettivo denso irregolare. Si vede una struttura ghiandola in cui si riconoscono tre adenomeri che raccolgono il secreto che poi sboccherà all'esterno in un unico dotto. Quindi una ghiandola ramificata tubulo glomerulare.
  4. Ghiandola unicellulare mucipara esocrina.
  5. Sudoripara eccrina.
  6. Aumento di ingrandimento. Se osservo le cellule si riconosce che nella parte profonda dell'adenomero ci sono le cellule integre con il loro nucleo. Man mano che si sale nel dotto cambiano la loro conformazione. Ghiandola sebacea ramificata olocrina.
  7. È un tessuto ghiandolare. Si riconoscono dei dotti quindi ghiandola esocrina. È sierosa per quel che si vede. È una ghiandola salivare. Possiede dotti abbastanza importanti e di diverso calibro quindi sarà una ghiandola composta. Come tutte le ghiandole salivari produce saliva che lubrifica e deterge la cavità orale, ha azione antibatterica, partecipa alla percezione del gusto, inizia la digestione ecc.
  8. Ghiandola sublinguale >Tessuto ghiandolare. Si vedono adenomeri. C'è del tessuto connettivo. Si vedono dei dotti quindi esocrina. Non sono uguali tra loro quindi è una ghiandola composta. È principalmente mucosa.
  9. Stessa cosa.
  10. Stessa cosa. Ghiandola tubulo acinosa composta. Si vedono meglio gli adenomeri.
  11. Maggiore ingrandimento. Si vede una componente sierosa e si vede dal semi lume del Giannuzzi.
  12. Altro ingrandimento. Si vede bene che è tubulo acinosa.

0 O

  1. Altra ghiandola > Tessuto ghiandolare. Si vedono dotti quindi ghiandola esocrina composta e mista. Prevalentemente sierosa ma sono presenti anche adenomeri mucosi.
  2. Altro vetrino ghiandolare > Ghiandola esocrina. Prevalentemente scura quindi prevalentemente sierosa. Si vedono anche adenomeri chiari quindi mucosi. Si vede il semi lume del Giannuzzi.
  3. Alto ingrandimento. Si vedono bene le semi lune del Giannuzzi. Quando si vedono si è in una ghiandola salivare.
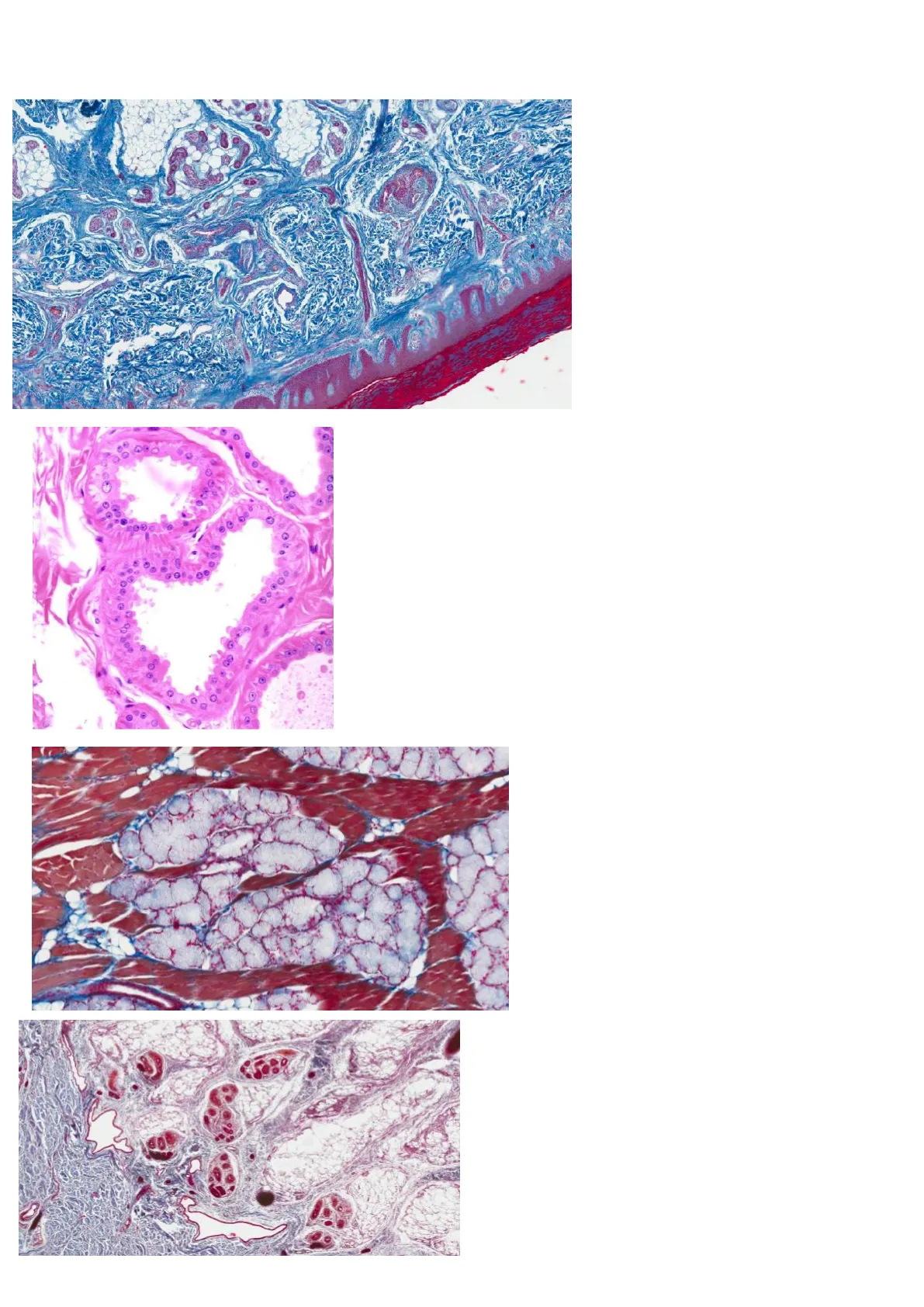
  4. Epitelio pluristratificato. Al di sotto la lamina propria e al di sotto ancora vi è la sotto mucosa in cu si vede una grande quantità di ghiandole di tipo mucoso. Ghiandole esofagee.
  5. Stomaco. Ghiandole tubulari semplici. Si aprono alla base delle fossette gastriche.
  6. Si vedono ghiandola tubulari semplici. Al di sotto di queste si vede un'altra struttura ghiandolare con tanti adenomeri e un unico dotto escretore che si apre alla base delle tubulari semplici. Si chiamano cripte del lieberkuhn. Duodeno. Ghiandole del Brunner, ghiandola ramificata.
  7. Intestino crasso > Ghiandole tubulari semplici. Si vedono costituite da una grande quantità di ghiandole unicellulari mucipare, poiché devono riversare molto muco. Qui mancano le cellule di Paneth. Al di sotto tessuto connettivo lasso. Taglio longitudinale.
  8. Taglio trasversale. Si vedono le ghiandole tubulari semplici. Per riconoscere che siamo nell'intestino crasso si guardano la grande quantità di ghiandole unicellulari mucipare.
  9. Si vedono due ghiandole e un dotto escretore.
  10. Tubulo glomerulare. Ghiandola sudoripara.
  11. Ovario > Si vedono strutture rotondeggianti diverse. Alcune piccole localizzate nella parte più periferica. Hanno un grado di maturazione diversa. Quindi follicoli.
  12. Particolare. Si vede ovocita multi laminare. Cellule della granulosa. Producono gli ormoni estrogeni.
  13. Sempre nell'ovario. Follicolo di Graf. Dentro l'oocita e il cappuccio di cellule della granulosa che prende il nome di corona radiata.
  14. Fase proliferativa. Va dal quarto al quattordicesimo giorno.
  15. Diventano contorte e si ramificano. Caratteristica identificativa.
  16. Maggiore ingrandimento.
  17. Corpo luteo. Produce il progesterone.
  18. Lume molto ampio. Acini alveolari. Ghiandola mammaria. Si vede il secreto quindi è attiva. Si vedono strutture bianche che sono le goccioline di latte. Sono ghiandole apocrine. Perdono la parte più periferica però si mantiene il nucleo quindi si ricostituisce senza problemi. Si vede anche tessuto connettivo.
  19. Ghiandola mammaria. Donna in menopausa. Alveoli non molto sviluppati.
  20. Ghiandole lacrimali > Sono completamente sierose. Sono tubulo alveolari composte.
  21. Fegato > è di un uomo perché si riconosce la vena centro lobulare, gli epatociti e gli spazi portali. Non si vede uno strato ben definito. C'è un sottilissima linea.
  22. Cuore del lobulo epatico. Epatociti disposti a travate attorno alla vena. Caratteristiche e funzione epatociti. Hanno attività esocrina ed endocrina. Le linee bianche identificano il tipo di vasi presenti che sono capillari a grande diametro e ci sono i sinusoidi.
  23. Colorazione specifica che mette in evidenza la quantità di glicogeno negli epatociti.
  24. Sempre fegato. Questa colorazione mette in evidenza il movimento del torrente circolatorio del lobulo epatico. Centripeta.
  25. Ingrandimento maggiore.
  26. Spazio portale. Si vedono attorno epatociti. Si vedono tre cavità: la venula molto grande (parete sottile e lume ampio), il capillare biliare (quello scuro con epitelio cubico, non hanno una parete propria ma sono rivestiti da quella degli epatociti) e l'arteriola (ha una parete più spessa). Ci sono sei spazi portali.
  27. Altra struttura ghiandolare. Tanti adenomeri in cui non si vede lume e si nota un nucleo ben definito posto nello strato basale di queste cellule che hanno una forma piramidale. Quindi pancreas esocrino. Quindi si chiamano cellule acinose.
  28. Ad un altro ingrandimento. Si vede una struttura all'interno dell'adenomero. Cellula centro acinosa, elemento identificativo del pancreas esocrino. Ghiandola tubulo acinosa composta.
  29. Le strutture colorate di rosa sono le vescicole. Si chiamano granuli di zimogeno.
  30. Ipofisi > Si divide un adenoipofisi e neuroipofisi. Ghiandola endocrina.
  31. Adenoipofisi. Cellule acidofile (rosse) e basofile (blu). Si chiamano cellule cromofile.
  32. Stessa cosa.
  33. Stessa cosa. Ci sono alcune che non hanno assunto nessuna colorazione. Hanno perso la loro funzione.
  34. Neuroipofisi -> Basso ingrandimento.
  35. Ingrandimento maggiore. Si vedono nuclei. Piduciti. Supporto strutturale e metabolico.
  36. Epifisi > ci sono due tipi di cellule: pinealociti e cellule interstiziali. Quelli che producono la melatonina sono i pinealociti. SI trova alla base dell'ipotalamo.
  37. Ingrandimento maggiore.
  38. Si vedono due ghiandole. Una di minori dimensioni e una piena di follicoli. Quest'ultima è la tiroide. Quella più piccola paratiroide. Si vedono le due strutture affianco.
  39. Tiroide e paratiroide.
  40. Paratiroide. Componente cellulare più scura. C'è tanto tessuto adiposo.
  41. Maggiore ingrandimento.
  42. Paratiroide.
  43. Tiroide. È una struttura a follicoli. Ognuno è formato da un epitelio che è cubico. Tiroide attiva. Cellule si chiamano tireociti. Negli interstizi ci sono le cellule parafollicolari.
  44. Epitelio pavimentoso e follicoli di grandi dimensioni. Tiroide ipofunzionante.
  45. Ingrandimento maggiore.
  46. Colorazione argentica.
  47. Ingrandimento cellule interstiziali del testicolo: cellule del Leydig.

1 1 Q

  1. Maggiore ingrandimento.
  2. Maggiore ancora. Epitelio pluristratificato in cui nella parte centrale si vedono dei filamenti. Sono tubuli seminiferi. CELLULE DEL SERTOLI in periferia. Cellule negli interstizi dei tubuli seminiferi, sono le cellule di Leydig e sono di natura connettivale.
  3. Tubuli seminiferi.
  4. Maggiore ingrandimento.
  5. Surrene -> tre strati concentrici. Parte corticale e parte midollare. Parte più chiara zona midollare.
  6. Particolari. Dall'esterno guaina connettivale. Strato glomerulare. Sotto cellule a struttura colonnare. Zono fascicolata. È quella di maggiore spessore e le cellule si chiamano spongiociti. Corrono le sinusoidi.
  7. Zona fascicolata. Fessure bianche sono i sinusoidi.

Ø G

  1. Spongiociti.
  2. Zono reticolare. Struttura irregolare. Producono androgeni ‘mascolinizzanti deboli'.
  3. Zona midollare, quella più centrale.
  4. Pancreas > componente esocrina. La più chiara è l'isola di Langerhans.
  5. Epidermide cheratinizzata. Strutture ghiandolari in cui si riconosce il nucleo.

Non hai trovato quello che cercavi?

Esplora altri argomenti nella Algor library o crea direttamente i tuoi materiali con l’AI.