Documento de Universidad sobre Tema 25: Generalidades del Sistema Inmune. El Pdf explora el tejido linforreticular difuso y nodular, así como el timo, con imágenes histológicas y esquemas. Es un material de Biología útil para estudiantes universitarios.
Ver más24 páginas


Visualiza gratis el PDF completo
Regístrate para acceder al documento completo y transformarlo con la IA.
TEMA 25. GENERALIDADES DEL SISTEMA INMUNE
El sistema linforreticular está formado por:
Este tejido linfoide formará:
adenoide amigdala vasos linfáticos timo nódulos linfáticos bazo placas de Peyer en el intestino delgado apéndice médula ósea roja
TEJIDO LINFORRETICULAR DIFUSO:
Todos los órganos tienen un estroma y un parénquima. En este caso:
*El timo es una excepción porque el estroma está formado por un retículo celular, es decir, no hay fibras reticulares.
Imagen de timo lleno de linfocitos (basófilos, ya que la mayor parte de esta célula es núcleo). Se observan algunos núcleos más claros que corresponden a células del estroma. Se aprecia la corteza del timo más basófila (a la izquierda) que la médula (menos basófila).
células del estromaSeno de un ganglio linfático (por donde fluye la linfa). Se aprecia mejor el estroma debido a que el parénquima es menor que en el caso del timo. Hay claramente menos linfocitos que en el timo.
ME de tejido linfoide. Las fibras de colágeno reticulares de estos tejidos no están expuestas a los linfocitos, ya que las propias células reticulares las rodean. Esto será importante para evitar la exposición de las fibras de colágeno a los linfocitos.
TEJIDO LINFORRETICULAR NODULAR:
En esta imagen se observan ambos tipos de tejido linfoide.
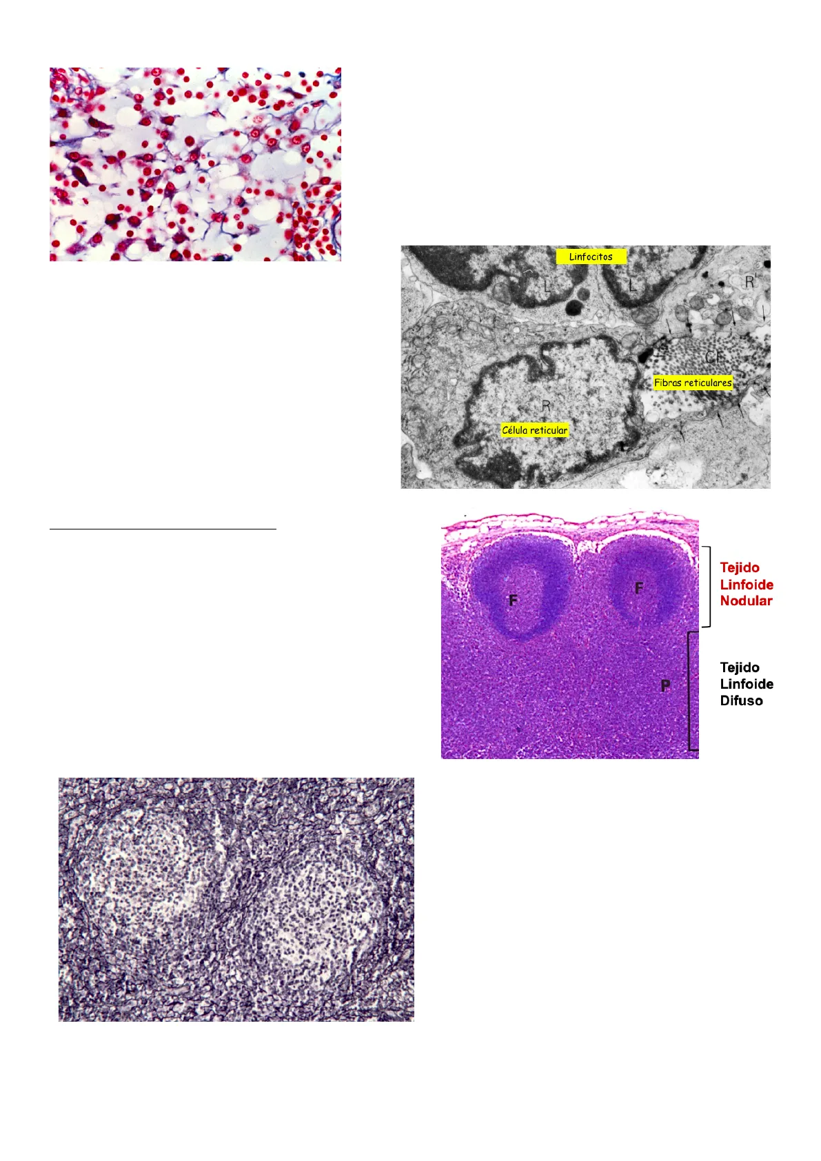
El tejido linfoide nodular consiste en nódulos o folículos llenos de linfocitos. En el interior de estos folículos no hay fibras, pero sí hay en la periferia.
*Cuando veamos el ganglio linfático, veremos que hay una serie de linfocitos en la periferia que forman la corona y otros que están en el centro formando el centro germinativo, donde también habrá células dendríticas, macrófagos, etc.
Linfocitos Fibras reticulares R Célula reticular F Tejido Linfoide Nodular F P Tejido Linfoide Difuso
Tinción de impregnación argéntica de folículo linfoide. Se observa como dentro del folículo linfoide no hay fibras de colágeno, por ello se marcan en un color más claro.F F
Inmunohistoquímica de linfocitos B. En los nódulos linfoides hay muchos linfocitos B. Por ello, se tiñen principalmente los folículos linfoides, aunque también hay algunos en el tejido linfoide difuso.
F P P
MEB donde vemos un folículo linfoide con linfocitos a la izquierda. A la derecha se observa el tejido linfoide difuso con fibras (flecha blanca) y células reticulares (Rt). También se aprecian macrófagos (M). Las prolongaciones de las células reticulares cubren a las fibras reticulares.
TEJIDO LINFOIDE ASOCIADO A MUCOSAS:
MALT > presente en el tracto digestivo, vías aéreas y sistema urogenital. La mucosa está compuesta por lámina propia que es tejido conjuntivo laxo rico en células defensivas, por tanto, es donde vamos a encontrar los MALT. Puede estar formado por:
A) Linfocitos sueltos entre células epiteliales. Suelen ser linfocitos T. B) Cúmulos difusos y foliculares en la lámina propia, es decir, agrupaciones de linfocitos. C) Estructuras organizadas en el tracto digestivo. a. Amígdalas. b. Placas de Peyer. c. Apéndice.
Ejemplos: GALT (tejido linfoide asociado a intestino), SALT (tejido linfoide asociado a la piel) y BALT (tejido linfoide asociado a bronquios).
Se trata de refuerzos de tejido linfoide en las barreras primarias de nuestro organismo.
Inmunohistoquímica de linfocitos T. Los linfocitos T están sobre todo en el tejido linfoide difuso, aunque hay algunos en el folículo linfoide.
M M L Rt A RtLinfocitos intraepiteliales. Los vemos señalados con flechas.
Lymphatic Nodule
Nódulo linfático en el epitelio esofágico.
E
Amígdala palatina
F Cap
Amígdala palatina rodeada por una semicápsula. Es del tamaño de una almendra aproximadamente. Tiene una gran cantidad de folículos linfoides (F) y entre ellos, tejido linfoide difuso.
Placas de Peyer
1000 -0000
Placas de Peyer en el intestino, con células M.S
Apéndice
F
Corte transversal de apéndice donde vemos folículos linfoides (F).
Concentración aproximada de linfocitos T y B:
| Linfos T (%) | Linfos B (%) | |
|---|---|---|
| Timo | 100 | 0 |
| Médula ósea | 10 | 90 |
| Bazo | 45 | 55 |
| Ganglios linfáticos | 60 | 40 |
| Sangre | 80 | 20 |
OTRAS CÉLULAS DEL TEJIDO LINFOIDE:
MET del timo. Se observa una célula reticuloepitelial del timo (célula presentadora de antígenos) con muchas prolongaciones que rodean a los linfocitos.
Célula reticuloepitelial
Células dendríticas interdigitantes:
Son células migratorias.
Esquema donde se observa el proceso de presentación de antígenos por células dendríticas (de Langerhans). Una vez captado el antígeno, viajan por vía linfática hacia los ganglios linfáticos, donde se activarán los linfocitos y se producirá la respuesta inmune.
Antígeno Células dendríticas (de Langerhans) Piel Vías linfáticas Ganglio linfático Respuesta inmunitaria
Corte histológico de células de Langerhans (CP) rodeando a linfocitos (L).
Antígeno Células dendríticas Otros órganos Vasos sanguíneos Bazo Respuesta inmunitaria
Otras células dendríticas van a usar los vasos sanguíneos como vía para llegar al bazo, donde activarán a los linfocitos y, por ende, la respuesta inmune.
CP
-TIMO:
Es un órgano linfoide primario, donde se forman los linfocitos T inmaduros no comprometidos.
trachea arteria casolife comune coma giugulare del tima Interna tiric polmone sinistro polmone destro pericandio
Corteza Médula
Corte de timo con tinción H/E. Presenta lóbulos y, dentro de los mismos, presenta lobulillos, delimitados por tejido conectivo (no marcado, franjas blancas).
Se observa una zona más basófila, correspondiente a la corteza del lóbulo, y otra menos basófila, correspondiente a la médula del lóbulo.
Se aprecian muy bien las trabéculas de tejido conectivo separando las cortezas entre sí. Sin embargo, la médula es común a varios lobulillos, ya que las médulas no están tabicadas. El tejido conjuntivo solo separa los lobulillos a nivel de corteza, llegando solo a nivel cortico-medular.
Corte de timo H/E, donde se aprecian lóbulos y lobulillos con sus correspondientes cortezas (Cx) y médula (M).
Desmosoma Célula reticuloepitelial Retículo celular c S Núcleo grande y ovalado Linfocitos Citoplasma eosinófilo
En el timo, los lobulillos presentan tejido linforreticular, pero en este caso, el estroma está formado por células reticuloepiteliales (es decir, no son fibroblastos modificados, si no células epiteliales). Así, tendrán: desmosomas, citoqueratina (se usaría de antígeno para hacer una inmuno), etc. Los núcleos son más grandes, claros y ovalados, con un citoplasma eosinófilo.
Cx M