Documento sull'anatomia microscopica degli apparati genitali maschile e femminile. Il Pdf, un set di appunti universitari di Biologia, descrive deferente, vescichette seminali, ovaie e tube uterine, con dettagli su struttura e funzione, includendo illustrazioni e schemi per facilitare la comprensione.
Mostra di più16 pagine


Visualizza gratis il Pdf completo
Registrati per accedere all’intero documento e trasformarlo con l’AI.
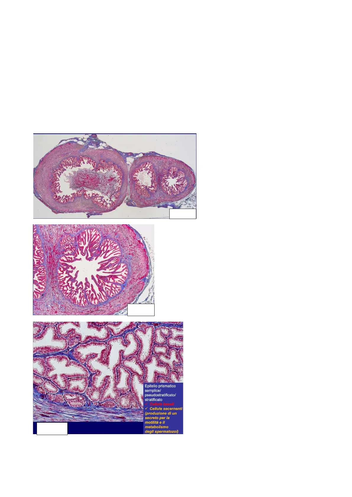
Ferrari C, Ferrari C, Ferrari S Microscopica (Ferretti) Lez 15, 27/11/2023 Questo è un preparato microscopico di deferente che è stato sezionato trasversalmente. Avevamo visto la volta scorsa quanta muscolatura sia presente in questo condotto, che deve trasportare lo sperma per un certo tragitto e la muscolatura favorisce la motilità dello sperma e di conseguenza degli spermatozoi. La parte muscolare è abbondante ed è formata da 3 strati. Nella Figura 1 si può vedere anche la mucosa, ma se si osserva un preparato di deferente quello che colpisce non è tanto l'epitelio della mucosa, ma è la presenza di una muscolatura estremamente abbondante suddivisa in 3 strati ed è visibile anche Figura 1 un certo contingente connettivale Si tratta di una colorazione con Azan-Mallory; si vede lo strato interno e lo strato esterno a decorso longitudinale e uno strato intermedio a decorso circolare. Presenta un lume irregolare, non come il lume regolare dell'epididimo, qui abbiamo una tonaca propria della mucosa che si estroflette. La piega non è dovuta a una stratificazione delle cellule epiteliali, ma è dovuta ad un'estroflessione della tonaca propria. Il rapporto della parete e del lume è di 10 a 1, il lume infatti è molto ristretto rispetto allo spessore della parete. Aumentiamo l'ingrandimento per poter osservare meglio le pieghe, che sono per lo più stabili per la mancanza della sottomucosa. L'epitelio della mucosa che riveste le pieghe è cilindrico pseudostratificato dove ritroviamo la cellula con stereociglia. Queste cellule con stereociglia sono localizzate soprattutto nel primo tratto del deferente, poi pian piano vengono sostituite con cellule secernenti per il liquido spermatico.
VESICHETTE SEMINALI Figura 2 visione posteriore uret Serbatoio spermatozoi condo E ampolla condotto deferent vescichetta seminale prostata ghiandola di Cowper ramo ischio-pubico fascia superiore del diaframma uro-genitale muscoli del diaframma uro-genitale Le vescichette seminali, osservate da dietro nella Figura 2, con gli ureteri che arrivano da dietro e i due deferenti che arrivano da davanti perché devono attraversare il canale inguinale per entrare a livello inguinale, per passare ai lati della vescica e poi portarsi dietro. I deferenti che arrivano dal davanti incrociano gli ureteri che arrivano dall'alto. I deferenti quando arrivano alla vescica si slargano andando a formare l'ampolla deferenziale. L'ampolla ha la stessa struttura delle vescichette seminali perché esse rappresentano un estroflessione dell'ampolla deferenziale. Prima di terminare l'ampolla, infatti, si estroflette andando a formare le vescichette. Queste vescichette inferiormente hanno un collo che si unisce con la porzione terminale dell'ampolla del deferente che un po' si restringe per formare i due condotti eiaculatori, uno a destra e uno a sinistra.
1Ferrari C, Ferrari C, Ferrari S Microscopica (Ferretti) Lez 15, 27/11/2023 Domanda: "Perché i condotti eiaculatori non li vedo?" Risposta: "Perché appena nascono entrano dentro alla prostata, una ghiandola che contribuisce alla formazione del liquido spermale e la ritroviamo sotto alla vescica. I due condotti entreranno dentro alla prostata per andare poi ad aprirsi a livello dell'uretra prostatica e da quel punto in giù l'uretra nell'uomo non veicola solo l'urina, ma anche lo sperma." Le vescichette sono come un tubulo convoluto, quindi con decorso non rettilineo a fondo cieco e presenta nella sua parete dei diverticoli irregolari, insieme a pieghe della mucosa. Quindi la vescichette seminale viene considerata una ghiandola, ma presenta una struttura simile a quella degli organi cavi; infatti, andremo ad individuare una mucosa e una muscolatura. Questa struttura la ritroviamo nell'ampolla deferenziale.
Figura 3 Questa è una vescichetta seminale che è stata sezionata in colorazione Azan-Mallory. Ci troviamo a piccolo ingrandimento e vediamo delle estroflessioni molto abbondanti verso il lume, non sono grosse, ma sono tante e ramificate. Le pieghe della mucosa hanno un aspetto labirintico.
Figura 4 Andiamo a più forte ingrandimento: vedo la muscolatura, che non è molto abbondante e una mucosa particolare con tutte queste estroflessioni della tonaca propria che posso definire fibromuscolare. Epitelio prismatico semplice/ pseudostratificato/ stratificato Cellule basall V Cellule secernenti (produzione di un secreto per la motilità e il metabolismo degli spermatozoi) Figura 5 Ancora più a forte ingrandimento per vedere l'epitelio, che sembra essere un epitelio prismatico semplice, in alcuni tratti potrebbe essere pseudostratificato o stratificato. Nelle vie genitali maschili l'epitelio può essere di vario tipo, quindi può variare.
2Ferrari C, Ferrari C, Ferrari S Microscopica (Ferretti) Lez 15, 27/11/2023 Le cellule di questo epitelio possono essere:
Nel deferente inizialmente si trovano le cellule con le stereociglia che poi vengono sostituite con le cellule secernenti, ma quello che caratterizza l'organo delle vescichette non è tanto la presenza delle cellule secernenti, ma è la presenza di queste pieghe sottili che si anastomizzano. La tonaca muscolare presenta due strati:
Le vescichette seminali sono delle ghiandole che contribuiscono alla formazione del liquido seminale insieme alla prostata.
Nella Figura 6 la vescichetta si assottiglia nel collo per continuarsi con l'ampolla deferenziale e continuarsi con il condotto eiaculatore. Il condotto appena nasce è molto dilatato e si chiama seno eiaculatore; infatti, deve raccogliere tutto il liquido dalle vescichette e dall'ampolla per poi continuarsi con il vero e proprio condotto eiaculatore. Il condotto eiaculatore che attraversa la prostata serve per veicolare lo sperma, questo vuol dire che la sua tonaca mucosa, che è sollevata in creste longitudinale, presenta un epitelio cilindrico semplice non secernente, in quanto deve veicolare solo lo sperma. La prof. Ferretti non ha preparati di dotti eiaculatori, di conseguenza non ci verranno mostrati all'esame. ampolla del deferente vescichetta seminale mm 0,55 mm 0,8 -mm 0,55 mm 0,3 .3 seno eiaculatore m m 2,9- m m 4. mm 0,2- 15 a 22 mm dotto eiaculatore Figura 6
Figura 7 a sinistra la sezione a sinistra è stata fatta longitudinale frontale. Vedo la vescica, la prostata sotto, inferiormente alla prostata il diaframma uro- genitale e infine la radice del pene. L'uretra nell'uomo corrisponde alla continuazione verso il basso del collo della vescica. Il primissimo tratto dell'uretra, quando è rivestita dal muscolo sfintere liscio dell'uretra, nell'uomo è molto più sviluppato che nella donna ed è chiamato pre- prostatico. orifizio ureterale Figura 7 prostata otricolo prostatico collicolo seminale orifizio del condotto eiaculatore cresta uretrale ghiandola di Cowper diaframma uro-genitale uretra membranosa sezione sagittale orifizio del condotto della ghiandola di Cowper uretra cavernosa Da pre-prostatica, l'uretra diventa prostatica quando entra nella prostata. Poi l'uretra attraversa il diaframma uro-genitale e infine diventa spongiosa entrando all'interno del corpo spongioso del pene.
3Ferrari C, Ferrari C, Ferrari S Microscopica (Ferretti) Lez 15, 27/11/2023 Figura 7 a destra Si osserva la base della vescica che guarda in basso e indietro, che viene in rapporto con la vescichetta seminale. Dalla vescichetta seminale parte un condotto che decorre dall'alto verso il basso, dall'indietro in avanti nel contesto dell'uretra prostatica per andare ad aprirsi in questi due orifizi. La mucosa nella parete posteriore dell'uretra prostatica si estroflette verso il lume a formare il collicolo seminale, dove c'è un'infossatura centrale chiamata utricolo prostatico, che è un residuo embrionale del dotto di Muller. Ai lati di questo utricolo si vedono gli sbocchi interni dei condotti eiaculatori. Seni uretrali Sfintere uretrale interno (muscolatura liscia) Cresta uretrale Prostata -Collicolo seminale Utricolo prostatico- Elementi ghiandolari della prostata Aperture dei dotti degli elementi ghiandolari prostatici Stroma fibromuscolare (muscolatura liscia e tessuto connettivale fibroso) Aperture dei doti eiaculatori Sfintere uretrale estemo (muscolatura scheletrica) Figura 8 In azzurro nella Figura 8 è stata disegnata l'uretra prostatica, la quale nell'uomo ha di suo praticamente solo la mucosa: nel tratto pre-prostatico la mucosa uretrale è rivestita dal muscolo sfintere uretrale interno (muscolo liscio), poi l'uretra attraversa la prostata per cui la tonaca mucosa presenta più esternamente il parenchima prostatico formato da adenomeri che si continuano con dotti prostatici minori che si riuniscono in dotti maggiori. I dotti prostatici si aprono poi nel lume dell'uretra prostatica. Le ghiandole prostatiche sono localizzare nella porzione posteriore e laterale della prostata, mentre la maggior parte dei dotti si apre ai lati del collicolo seminale, in corrispondenza dei fornici. L'uretra poi abbandona la prostata per attraversare il diaframma urogenitale formato da piani muscolari fasciali formati dal muscolo trasverso profondo del perineo e una sua dipendenza, ovvero il muscolo sfintere striato dell'uretra. Poi la mucosa dell'uretra attraverserà il pene nel corpo spongioso, meno addensato rispetto ai due corpi cavernosi posti piú superiormente.
PROSTATA È attraversata dall'uretra prostatica e dai condotti eiaculatori. Si tratta di una ghiandola e il suo parenchima è formata da adenomeri, che faranno capo a dei condotti. Inoltre, troviamo una capsula fibromuscolare che la riveste, la cui superficie interna genera tralci connettivale all'interno del parenchima. Lo stroma è fibromuscolare e la muscolatura è estremamente abbondante, perché con la contrazione favorisce la fuoriuscita del liquido seminale per essere veicolato all'interno del lume dell'uretra. condotti eiaculatori lobo anteriore lobo laterale ghiandole sottouretrali lobo posteriore Figura 9 La prostata è formata da 30/50 unità ghiandolari tubulo- alveolari accolte nelle logge/lobuli delimitate a loro volta da setti stromali fibro-muscolari. Figura 9 Sezione trasversale della prostata, dove si osserva come gran parte dei dotti prostatici si apra ai lati dell'utricolo prostatico. Nella porzione anteriore non sono ospitate ghiandole, ma si ritrova principalmente stroma fibromuscolare. 4